3.- Endodoncia
La endodoncia es la rama de la odontología que trata de la morfología, fisiología y patología de la pulpa dental y tejidos perirradiculares del ser humano. Es realizada en la CLÍNICA PUCHADES por la Dra. María Martínez, especialista en endodoncia por la Universidad de Valencia.
Su objetivo es intentar mantener un diente en boca que de otra manera tendría que ser extraido.
Podríamos decir que la endodoncia tiene dos fases:
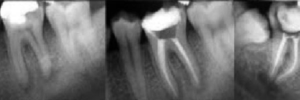
1. Limpieza y desinfección del sistema de conductos: tras conocer el historial médico y anestesiar correctamente el diente a tratar, se realiza una apertura a través de la cual accedemos a la cámara pulpar; una vez allí localizamos y conformamos los conductos mediante unos instrumentos llamados limas, entre lima y lima utilizamos unos irrigantes capaces de desinfectar, disolver y eliminar todos los restos pulpares y bacterianos que vamos desbridando. Según el diente que tratemos podemos encontrarnos con 1,2, 3, 4 o incluso más conductos, muchos de ellos incluso interconectados. Tampoco todos los conductos son rectos, la gran mayoría tienen curvaturas y algunas pueden ser realmente difíciles de tratar.
2. Obturación y sellado tridimensional del sistema de conductos: su objetivo es conseguir un sellado hermético del conducto desde la parte coronaria hasta la terminación apical para que los microorganismos no vuelvan a entrar en el conducto y lo reinfecten, creando a su vez un ambiente favorable para que haya una cicatrización de los tejidos periapicales. Como material se utiliza habitualmente la gutapercha (polímero similar al caucho, derivado de un exudado vegetal).
La importancia que tiene el localizar todos los conductos, limpiarlos y sellarlos correctamente hasta el ápice es crucial para conseguir el éxito de una endodoncia, por ello en esta clínica contamos con una endodoncista exclusiva con más de 10 años de experiencia.










